
If you have a broken or damaged tooth, it can leave you unable to eat properly and feeling self‑conscious about your appearance.
A crown can be put in place by your dentist to “cap” your tooth so that it looks natural and healthy, offering a permanent solution to restore your smile. Visit our Marylebone practice and we’ll help you enjoy food again while protecting your tooth for years to come.
Protect and strengthen cracked or decayed teeth with a durable crown.
Choose porcelain or ceramic crowns that blend with your surrounding teeth.
Crowns can last 10–20 years or more with proper care.
Use crowns after root canal treatment, to anchor a bridge or to top a dental implant.
Spread the cost of your crown with our 0% finance options.
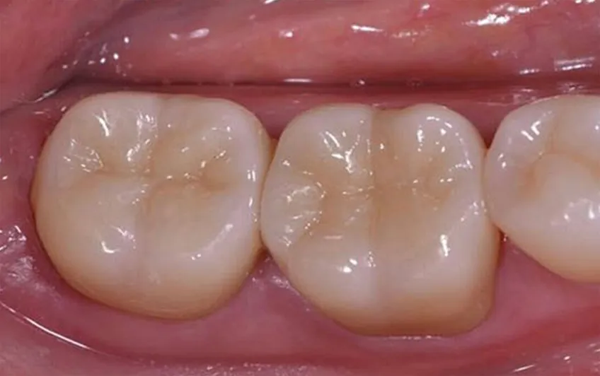
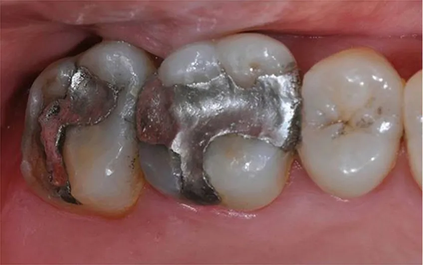
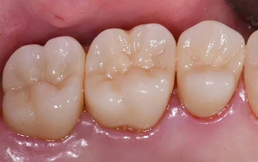
Just as the Queen’s crown sits on her head, a dental crown sits on your tooth, albeit in a much more permanent way. When fitted, your crown will sit over the tooth until it reaches the gum line. This provides a way to restore the form and function of your tooth so that you can enjoy the foods you once did. Dental crowns can be made from several different materials, including porcelain, composite or metal. Your dentist will be able to advise you on what the most aesthetically pleasing and most effective option will be for you.

There are all sorts of reasons why your tooth could be damaged, including trauma to your mouth through a sporting injury, a fall or an accident of some sort. Or, you could have a tooth that is suffering from decay and needs to be repaired. If you do have tooth decay or a broken tooth, you may also suffer from pain and discomfort.
Your dentist may recommend a crown for a number of reasons, including:

During a thorough consultation, your dentist will make sure that a crown is the right option for you, as well as explaining the treatment procedure. First of all, your dentist will redesign your existing tooth under local anaesthesia, including removing any decay, so that it can be fitted with a crown. They will then use a mould to take an impression of the damaged tooth before sending it to our in‑house dental lab where your customised crown is made. Consideration will also be given to the shade of white your crown should be. It may be that you would like it to match your teeth, or if you are also undergoing other treatments such as tooth whitening, your dentist will consider the overall finished result. You will be able to choose from options including a ceramic crown or porcelain crown. While you are waiting for your new crown to be made, you will be fitted with a temporary crown. A follow‑up visit will involve the fitting of your permanent crown. Your dentist will first of all check it is a good fit before securing it permanently in place.

One of the many benefits of a crown is that it can last a long time. Typically, your crown will last for between 10 and 20 years without needing to be replaced, depending on the type of materials used and how you care for it. Dental crowns usually don’t require any more maintenance than your natural teeth. You should continue to look after your oral health using good dental hygiene practices, and book regular cleanings and dental exams.

At Ace Dental we use advanced digital scanning to design precision‑fit crowns and offer a range of materials to suit your smile and budget. Our treatment coordinator will guide you from consultation to aftercare and we provide flexible appointment times in Marylebone. We also offer sedation for nervous patients and finance options to spread the cost.







Every treatment begins with a personalised plan and a focus on your comfort. Here’s what to expect:
Meet with our dentist to assess your tooth, discuss materials and plan your restoration.

Under local anaesthesia we reshape your tooth and take impressions or digital scans.

A temporary crown protects your tooth while your custom crown is made.

Your new crown is carefully fitted and adjusted for comfort and function.

We provide guidance on caring for your crown and schedule follow‑up visits.

We believe dental care should be transparent and accessible. At Ace Dental, we offer clear pricing and flexible payment plans to help you plan with confidence.
includes full check-up and X-rays if needed
per tooth, depending on the material and complexity
Finance options available to make your treatment affordable
If you have a broken, damaged or missing tooth, we can help restore your confidence with a strong, natural-looking crown or bridge. Book your appointment today to begin your journey.

"A great experience."
A great experience. Jamie Wright was kind and sympathetic, and explained very clearly every stage of the process for my new dentures. Thanks to everyone at Ace Dental for a relaxed, professional and friendly environment. I am delighted with my new dentures, and can't recommend Ace highly enough. Thanks to all.
"I had dental treatment here and I found them all to be very helpful and professional."
I had dental treatment here and I found them all to be very helpful and professional. I was put at ease when I was contacted by Lindsey the day before my treatment. My Treatment was by Robert and my aftercare by Jamie was perfect I go back every year for my checks with Jamie and will continue to do so.
"Truly amazing team who gave me tremendous confidence by giving me my much needed 'smile' back."
Truly amazing team who gave me tremendous confidence by giving me my much needed 'smile' back.I always think of them as the 'A Team'.
"By far one of the best dental experiences I've ever had."
By far one of the best dental experiences I've ever had. Very supportive and gave a clear breakdown of everything perfectly. Couldn't recommend more.

Crowns can be porcelain, ceramic, composite or metal; your dentist will recommend the best option for you.
With good oral hygiene they typically last 10–20 years or more.
We use local anaesthesia to numb the area; most patients feel only mild pressure during preparation. If you’re anxious about dental treatment, intravenous sedation can help you relax.
Often a crown is placed to protect and strengthen a tooth after root canal therapy.
Yes – if it becomes damaged or worn, your dentist can replace it with a new crown.
Fees vary based on materials and complexity. Our finance options make crowns more affordable whether you’re visiting us from Marylebone, Paddington or elsewhere in Central London.
Ace Dental is conveniently located near Harley Street and Wimpole Street in Marylebone, Central London.
Ace Dental
Lister House,
11-12 Wimpole Street,
Marylebone, London
W1G 9ST
Call us on:
Opening times:
Weekdays 9am - 6pm
Ace Dental
11 High Street,
Wanstead, London
E11 2AA
Call us on:
Opening times:
Monday 9am - 6pm
Tuesday & Wednesday 9am - 7pm
Thursday 9am - 5:30pm
Friday 9am - 5pm
Saturday 9am - 2pm
Sunday Closed
Rakus Dental
34 Hans Road,
Knightsbridge,
London,
SW3 1RW
Call us on:
Opening times:
Monday 9 am- 6 pm
Tuesday 9 am- 6 pm
Wednesday 9 am - 6 pm
Thursday 9 am - 6 pm
Friday 9 am - 6 pm
Saturday 10 am - 4 pm
Sunday Closed